IHC

Marknadsledande antikroppar och reagenser för samtliga plattformar. Innovativa IHC-instrument med vilka ni förbättrar ert flöde, förkortar ledtider och samtidigt minskar ert avfall samt reagens och antikroppskostnader

Empire Genomics

Vi är stolta återförsäljare av Empire Genomics PROBER. Med över 1 miljon biomarkörer är möjligheterna oändliga.

Histolab -Återförsäljare

DNA Fish Probe

DISEASE PROBES

DNA Fish Probe

CUSTOM DESIGN

DNA Fish Probe

ARRAY CGH

DNA Fish Probe

IHC Instrument

IHC instrument för både de kliniska som för de forskningsorienterade labben

NeoPATH Pro

Antigen Retrieval Chamber ARC

ONCORE Pro

Antigen Retrieval Chamber ARC

IntelliPATH FLX

Antigen Retrieval Chamber ARC

Antigen Retrieval Chamber

Antigen Retrieval Chamber ARC

Antikroppar för alla plattformar

Våra mest eftertraktade Antikroppar

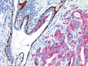
Prostate Cocktail, 2X

Finns i följande utförande: Koncentrat och Pr..

CK5/14 + p63 + P504S Multiplex IHC

Finns i följande utförande: Koncentrat och Pr..

Androgen Receptor

Finns i följande utförande: Koncentrat och Pr..

Övriga Instrument

Vi har även instrument för de små labben

 

2100-Retriever

2100-Retriever, komplett
BC-R2100EU

Kontakta oss

Lisa Viberg

KAM – Immuno, Sverige

+46 (0)8 -121 34 802

lisa.viberg@histolab.se

Behrokh Zandpour-Rognstad

KAM – Immuno, Norge

+47 473 66 927

behrokh.z-rognstad@histolab.no

Søren Povlsen

Sales manager, Danmark

+45 53 88 97 88

soren.povlsen@histolab.dk

E-handel

Välkommen med er beställning